 
  
Tomografia computadorizada de crânio no acidente vascular encefálico isquêmico
Considerações iniciais
Os sinais precoces do AVC podem ser sutis. Infelizmente, tanto subestimar quando superestimar os sinais são bastante comuns na prática médica. No entanto, uma TC bem interpretada é capaz de excluir um grande infarto com alta especificidade.
Na fase hiperaguda do AVC, a tomografia computadorizada (TC) de crânio sem contraste é o exame de imagem que deve ser solicitado para excluir hemorragia. A TC é essencial, pois a conduta no AVC hemorrágico e isquêmico são totalmente diferentes.
1. Fase hiperaguda (primeiras horas, até 6h)
Muitas vezes a TC ainda pode ser normal.
Sinais precoces de isquemia:
Sinal da artéria cerebral média hiperdensa → trombo visível dentro da artéria.
Apagamento do sulco cortical → perda da diferenciação entre giros e sulcos.
Perda da diferenciação entre substância cinzenta e branca → exemplo: apagamento do núcleo lentiforme.
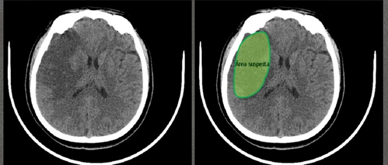
Hipodensidade sutil em território vascular.
Sinal da artéria cerebral média hiperdensa
O sinal da artéria hiperdensa é a visualização de uma artéria (geralmente a artéria cerebral média, ACM) como uma área mais branca (hiperdensa) numa Tomografia Computorizada (TAC) sem contraste, indicando a presença de um trombo ou coágulo, e é um sinal precoce e específico de um Acidente Vascular Cerebral (AVC) isquémico. Este sinal, que pode ser visível logo após o AVC, aponta para uma oclusão de um vaso sanguíneo maior e está associado a um prognóstico mais desfavorável, mas a sua rápida identificação permite uma intervenção terapêutica mais célere e eficaz.
 
  
 
  
 
  
2. Fase aguda (6–24h)
Áreas mais evidentes de hipodensidade (baixa atenuação) na região do infarto.
Edema citotóxico → aumento de volume local, compressão de sulcos e desvio discreto da linha média.
3. Fase subaguda (1–5 dias)
Hipodensidade bem definida no território vascular acometido.
Edema vasogênico importante → pode causar efeito de massa (desvio de linha média, compressão ventricular).
 
  
Nesta fase, o edema começa a reduzir e surgem hemorragias petéquicas corticais, aumentando a atenuação do córtex. Esse sinal é conhecido como fenômeno “fogging” da TC e não deve ser confundido com transformação hemorrágica. Em 2 a 3 semanas após um infarto, o córtex recupera a densidade quase normal e a imagem neste momento pode levar a confusão ou diagnóstico perdido. Esse “enevoamento” foi demonstrado em cerca de 50% dos casos.
É um achado de imagem transitório que pode ocorrer na tomografia computadorizada (TC) sem contraste, geralmente entre a 2ª e a 3ª semana após um acidente vascular encefálico (AVE) isquêmico, pode ocorrer redução ou desaparecimento temporário da hipodensidade, fazendo a área isquêmica parecer quase normal → dando a falsa impressão de que a lesão regrediu. Isso se deve ao processo de fagocitose dos detritos celulares e proliferação de macrófagos e células gliais, que mudam a composição do tecido e mascaram o contraste natural da lesão na TC.
 
  
Crônica
Na fase crônica, o edema residual é mínimo ou desaparece e a gliose se instala, aparecendo como uma região de hipodensidade com efeito de massa negativo.
Fontes
https://rmmg.org/artigo/detalhes/1721
https://sanarmed.com/tc-no-avc-isquemico-posme/
https://med.estrategia.com/portal/conteudos-gratis/doencas/resumo-de-acidente-vascular-cerebral-isquemico-avci-diagnostico-tratamento/